
近期,复旦上医科研团队取得了多项突破。敲黑板!快来一起看看2022年7月的科研成果吧~
以下成果据学校、上海医学院官网等整理。
李伟广合作揭示恐惧消退形成新记忆的动态印迹网络机制
7月8日,复旦大学脑科学转化研究院李伟广研究员与上海交通大学基础医学院徐天乐教授团队和国家儿童医学中心(上海)、医学院附属上海儿童医学中心江帆教授团队合作,在国际学术期刊《分子精神病学》(Molecular Psychiatry)在线发表题为《跨脑区三元动态印迹网络构成恐惧消退记忆遗忘的物质基础》(Dynamic tripartite construct of interregional engram circuits underlies forgetting of extinction memory)的研究论文。该研究综合运用动物行为学、神经活性捕捉原位标记、光遗传学、神经环路示踪、电生理、在体光纤记录等多种技术手段,针对恐惧消退中形成的新记忆 — 消退记忆,在记忆印迹细胞群及其互相连接构成的印迹环路和印迹网络层面,揭示了消退记忆从形成到遗忘的基本演化规律,为理解抑郁症、焦虑症、创伤后应激障碍等重大情感障碍疾病治疗后复发提供了全新的思路。

骆肖群教授团队揭示重症药疹的基因秘密
近日,复旦大学附属华山医院变态反应科骆肖群教授团队在最新一期皮肤科业内权威杂志The Journal of the European Academy of Dermatology and Venereology(《欧洲皮肤性病学会杂志》)以ORIGINAL ARTICLE(原创文章)形式,以《中国汉族人群中HLA-B*59:01和HLA-B*55:02等位基因所共有的核苷酸序列与醋甲唑胺诱发的Stevens-Johnson综合征和中毒性表皮坏死松解症相关》(“Unique motif shared by HLA-B*59:01 and HLA-B*55:02 is associated with methazolamide-induced Stevens–Johnson syndrome and toxic epidermal necrolysis in Han Chinese”)为题,发表了关于汉族人群基因序列与药物醋甲唑胺诱发特定重症药疹相关性的研究文章。杂志将该研究结果图作为杂志封面,并在同期杂志中发表了台湾学者对于本研究的评论文章。

张蕴晖教授团队揭示产前大气细颗粒物及组分暴露对儿童神经发育的影响及潜在新机制
复旦大学公共卫生学院张蕴晖教授团队近日在Science of the Total Environment杂志在线发表了题为“Prenatal fine particulate matter exposure associated with placental small extracellular vesicle derived microRNA and child neurodevelopmental delays”的论文,着重探讨了产前PM2.5及组分暴露对儿童神经发育的影响,并探究了胎盘小细胞外囊泡(small extracellular vesicles,sEVs)来源的miRNA在其中的潜在作用。基于PM2.5个体监测,本研究较为全面地评估了产前PM2.5及化学组分对婴幼儿神经发育的影响,为识别和鉴定PM2.5神经发育毒性效应的关键组分提供了数据支持。此外,本研究首次从胎盘sEVs来源miRNA角度,探究了产前PM2.5及其组分暴露影响子代神经发育的生物机制,为PM2.5的神经发育毒性机制研究提供了新的方向和思路。

陆巍研究组合作对大脑纹状体产生beta异常振荡的神经环路机制进行解析
7月19日,脑科学转化研究院陆巍研究组与上海交通大学周栋焯(Douglas Zhou)研究组合作,于Cell Reports在线发表题为“A striatal SOM-driven ChAT-iMSN loop generates beta oscillations and produces motor deficits”的研究成果,对大脑纹状体产生beta异常振荡的神经环路机制进行了解析。该项研究发现光遗传急性抑制多巴胺功能,就能在纹状体部位造成beta振荡升高,提示纹状体本身就具备产生该振荡的“硬件”,然而,PD病理改变及运动障碍是一个涉及可塑性变化的慢性过程,因此,在PD动物模型上进一步研究beta振荡产生及其扩布进程,包括网络与环路水平可塑性的形成机制,将有助于更全面解析PD发生时beta异常振荡的神经机制。该研究成果也是对以往其它beta振荡源头学说的重要补充。

应天雷/吴艳玲/林金钟团队报道mRNA核酸抗体领域研究进展
近日,上海市重大传染病和生物安全研究院双聘PI、复旦大学基础医学院的应天雷,吴艳玲团队和上海市重大传染病和生物安全研究院双聘PI、复旦大学生命科学学院林金钟团队合作,发现mRNA-LNPs首次被用于表达抗-HBsAg抗体(G12-scFv,G12-scFv-fc,G12-IgG)。在具有持续HBsAg表达的腺相关病毒(AAV)/HBV小鼠模型里,G12-scFv-Fc-和G12-IgG-编码的mRNA-LNPs对血清HBsAg清除有持续的影响。这些发现可能为功能性治疗乙肝病毒提供一种新的联合治疗方案。例如,这种策略可以为体内的抗体提供一种“三明治”疗法,进一步增强治疗的免疫性能。总的来说,mRNA疗法在感染性疾病的治疗中很有前景,因为它们发展迅速,经济价值高,而且简单易行。该研究成果在杂志 mBio 上发表,题为“A Single Dose of Anti-HBsAg Antibody-Encoding mRNA-LNPs Suppressed HBsAg Expression: a Potential Cure of Chronic Hepatitis B Virus Infection”。

周平红教授课题组与季敏标教授团队合作开发飞秒受激拉曼技术用于内镜活检快速病理诊断
近日,复旦大学附属中山医院内镜中心周平红教授课题组与复旦大学物理系季敏标教授团队合作开发了基于飞秒受激拉曼技术的快速病理成像技术,成功实现了对内镜活检组织的精准实时智能诊断。相关研究成果以《深度学习的单帧飞秒受激拉曼病理显微镜实现胃内镜活检的即时诊断》(“Instant diagnosis of gastroscopic biopsy via deep-learned single-shot femtosecond stimulated Raman histology”)为题在线发表于《自然··通讯》[Nature Communications, 13, 4050 (2022)]。此项研究为简化复杂的受激拉曼成像系统提供了新的解决思路,突破了受激拉曼病理显微镜的速度极限,拓展了光学成像技术的生物医学应用范围,为内镜活检标本的快速诊断提供了全新的方法,也为受激拉曼病理显微镜的临床转化提供新的技术基础。

邵志敏教授团队联合为三阴性乳腺癌临床诊断研制“复旦肿瘤”智能方案
“仅通过乳腺癌患者增强磁共振影像资料,无需穿刺,便可精准预测三阴性乳腺癌的分型分类;基于数字病理图像构建的神经网络模型,通过一张小小的病理HE染色切片,数小时便可明确三阴性乳腺癌分子分型和关键治疗靶点……”近日,复旦大学附属肿瘤医院精准肿瘤中心主任、乳腺外科主任邵志敏教授团队,联合医院放射诊断科主任顾雅佳教授团队、病理科副主任杨文涛教授团队,并与复旦大学类脑智能科学与技术研究院王鹤研究员团队、南京信息工程大学徐军教授团队“医工携手”,通过“院内多学科团队联合+跨区域医工交叉协作”的方式,为三阴性乳腺癌的临床诊断研制出了“复旦肿瘤”智能方案。相关研究成果在美国《细胞》杂志旗下期刊《细胞报告·医学》、国家自然科学基金委旗下期刊《基础研究》在线发表。

王碧芸、胡夕春教授团队发现转移性三阴性乳腺癌的高效联合化疗方案
复旦大学附属肿瘤医院王碧芸、胡夕春教授团队领衔的GAP研究是一项全国多中心的随机对照3期临床试验,对比了白蛋白紫杉醇+顺铂与吉西他滨+顺铂一线治疗转移性三阴性乳腺癌患者的疗效及安全性。近日,相关研究成果以《A randomized phase 3 trial of Gemcitabine or Nab-paclitaxel combined with cisPlatin as first-line treatment in patients with metastatic triple-negative breast cancer》为题,在线发表于国际学术期刊《自然通讯》(Nature Communications)上。

阚海东教授和马蔚纯教授领衔研究团队发现未来气候变暖可影响城市整体经济发展并导致收入不公
近日,公共卫生学院阚海东教授和环境科学与工程系马蔚纯教授领衔的研究团队在气候变化影响研究领域取得重要进展。通过一项涉及全国231个城市18个行业的气候模拟研究,评估了未来气候变化背景下夏季城市增温对不同行业工作效率流失所造成的直接经济损失。研究成果“The inequality labor loss risk from future urban warming and adaptation strategies”在线发表于国际著名期刊《自然-通讯》(Nature Communications)。

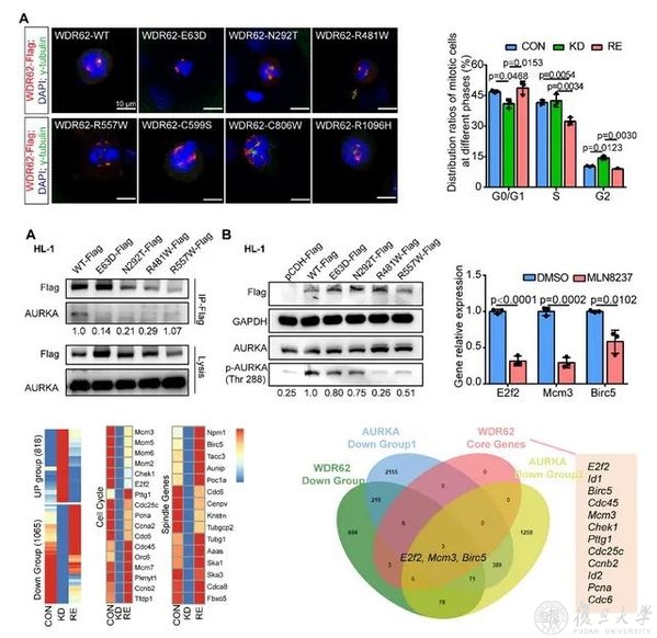
黄国英/马端团队发现先天性心脏病新易感基因
先天性心脏病(congenital heart disease, CHD)是最常见的出生缺陷。近日,复旦大学附属儿科医院黄国英教授和复旦大学基础医学院马端教授团队在 Clinical and Translational Medicine 期刊发表了题为“WDR62 variants contribute to congenital heart disease by inhibiting cardiomyocyte proliferation”的研究论文。该团队通过全外显子组关联分析结合多重PCR靶向测序,在大样本散发CHD病例中发现WDR62具有较高的变异频率;体内外实验证实WDR62缺陷通过影响细胞周期和纺锤体组装抑制心肌细胞增殖;从而确认了WDR62是CHD新的易感基因。

李聪教授课题组阐述癫痫可视化新技术:从生物标志物到分子探针
药学院李聪教授团队对近年报道的致痫灶生物靶标和分子探针进行了分析和总结,该工作以题为《定制材料实现癫痫可视化:从生物标志物到影像探针》(Tailoring Materials for Epilepsy Imaging: From Biomarkers to Imaging Probes)综述文章发表在Advanced Materials 杂志。本工作将癫痫病理状况归纳为功能异常、分子异常和结构异常三类,详细介绍了针对上述异常的生物标志物,相应分子探针的设计方案、成像机制和病灶定位性能,强调了生物材料优化对提高探针生物利用度、药物动力学特征、血脑屏障通透性、病灶定位灵敏度和信噪比的重要作用。最后对下一代癫痫可视化探针的设计和临床转化面临挑战进行了展望。

黄竞荷/孙蕾/吴凡/赵金存合作发现奥密克戎中和抗体诱导刺突蛋白产生“双三聚体”结构从而抑制病毒感染的新机制
近日,上海市重大传染病和生物安全研究院、复旦大学上海医学院黄竞荷研究员、孙蕾研究员,上海交通大学附属仁济医院吴凡研究员,广州医科大学附属第一医院赵金存教授合作在 Cell Research 上发表题为 A broadly neutralizing antibody against SARS-CoV-2 Omicron variant infection exhibiting a novel trimer dimer conformation in spike protein binding 的研究论文。该研究发现了一株对包括Omicron在内的新冠主要突变株具有强效中和活性的全人源单克隆中和抗体,该抗体能诱导新冠表面刺突蛋白形成双三聚体(Trimer dimer),导致病毒颗粒聚集从而抑制病毒与宿主受体结合,获得广谱且强效的中和效果。

舒易来、李华伟团队联合研发小巧“基因魔剪” 精准治疗遗传性耳聋取得新进展
7月21日,国际顶尖期刊《科学转化医学》(Science Translational Medicine)在线发表了复旦大学附属眼耳鼻喉科医院舒易来主任、李华伟教授和中科院脑智卓越中心杨辉研究员合作的研究论文“Rescue of autosomal dominant hearing loss by in vivo delivery of mini dCas13X-derived RNA base editor”(基于迷你型dCas13X开发的RNA碱基编辑器治疗常显性遗传性耳聋)。该研究基于新型的RNA编辑工具dCas13X,研发了精准治疗显性遗传性耳聋的前沿技术——针对常见显性遗传性耳聋基因肌球蛋白(MYO6)的RNA单碱基编辑器(mxABE),成功改善了动物模型的听力。这是国际上首个基于RNA单碱基编辑技术成功精准治疗显性遗传性耳聋的研究,为耳聋的精准治疗以及安全的临床转化提供了有力的科学证据。

赵世民/徐薇团队报道氨基酸代谢失调促胰岛素抵抗的分子机制
7月25日,复旦大学附属妇产科医院/代谢与整合生物学研究院赵世民教授和复旦大学生物医学研究院徐薇研究员团队在 Nature Communications上发表了题为 Phenylalanine Impairs Insulin Signaling and Inhibits Glucose Uptake Through Modification of IRβ的研究文章,报道了苯丙氨酸通过修饰 IRβ 致胰岛素抵抗的分子机制,并寻找到小分子抑制剂证实抑制这一修饰在激活胰岛素信号通路和干预二型糖尿病进程中的重要作用。研究首次揭示了氨基酸代谢失调也是T2D的致病风险因子,为干预二型糖尿病的进程提供了新靶点和策略;同时,提示长期过度使用代糖添加剂对T2D发生有潜在的风险,对大众健康饮食具有指导意义。






