
医学是“有时,去治愈;常常,去帮助;总是,去安慰”。复旦上医策划推出“暖心·为人群服务”系列报道,为你呈现一组上医人的暖心故事。复旦上医人用一个个暖心的举动诉说着医学的脉脉温情,诠释着“为人群服务”的初心使命。
四次对赌,复旦大学附属华山医院金垂体医疗团队终于为18岁的花季女孩小虹(化名)赢回了一条生命,也在下丘脑和脑干这两个生命中枢,同时也是手术禁区,插上了象征胜利的小红旗。
“邪门”的肿瘤,闻所未闻
第一眼看到小虹的脑核磁共振片子,即使是“阅瘤无数”的赵曜教授也深深倒吸了一口凉气:这瘤子,太夸张了!
且不说它内含的十几个“魔眼”般狰狞的囊肿,像榴籽一样相互包裹、挤压,直插大脑核心区;单就它的大小,直径超过4厘米,挤满整个脑深部的中央区域,也是闻所未闻,国内外文献罕见有过这个位置这么大肿瘤的报道。

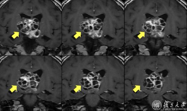
术前核磁共振显示脑深部巨大肿瘤,压迫下丘脑和脑干
病房里,一群身经百战的“老将”都被眼前这个魔鬼般的肿瘤怔住了:作为一个对手,它实在太“嚣张”了一点。
抬眼看一眼瘤子的“主人”,一个年轻的姑娘,面容清秀,但神情木讷,坐在床旁,头无力地靠在妈妈肩上,已无法交流和对话。医生一问询,妈妈就泣不成声:女儿今年刚上高三,几周来整日头疼、时不时陷入昏睡,情况越来越糟糕。
年轻的病人,猝不及防的家庭。病房里,这样的场景常常让医生唏嘘。
有人悄悄问了一句:这么大的肿瘤,能搞吗?
众人目光齐刷刷地转向赵曜,这位“华山·金垂体”团队的负责人。
这么大的肿瘤,这么“险要”的位置,不仅会梗阻脑脊液循环、引起颅内压增高,还会直接压迫周边的神经和血管,引起昏迷、失明、大小便失禁和多脏器功能代谢紊乱等症状,危及生命。但是,如果手术,同时在下丘脑和脑干这两个手术禁区“耍刀”,无异于虎口拔牙,任何医生都没有十足把握。
现场气氛凝滞了一小会后,赵曜说了一句:试一试吧。
试一试吧,表示心里没底。因为这个脑肿瘤的治疗,可谓“前无古人”,难度和风险均突破了医疗团队心理防线的极限。但是,这里是国家神经疾病医学中心,也是国内外著名的下丘脑-垂体肿瘤多学科融合诊治中心,对患者而言,是治疗的终点站。如果说一句“搞不了”,无异于判了眼前这个少女的死刑。
作为医生,于心不忍。
先收下来吧,只能赌一下。
01 第一次赌,化疗无效,输了
意外小惊喜,在厚厚的数沓检查单中,医生注意到一组关键指标:甲胎蛋白(AFP)和人绒毛膜促性腺激素(β-HCG)两个肿瘤指标高出正常值240倍和470倍,提示肿瘤可能会对化疗有效!
按照国际最新指南,肿瘤科黄若凡副教授定出了依托泊苷+顺铂/异环磷酰胺+依托泊苷交替化疗的方案,希望能用药物为女孩“搏”到一线机会,很可能也是唯一的机会。大家都祈盼化疗药有效,能不开刀就尽量不开刀。
第一轮化疗开始,很快,医生尝到了一丝“甜头”:小虹的症状有减轻,人的反应清楚了不少。估计是肿瘤有缩小!
可是,就在大家暗自庆幸的时候,情况却急转直下,立马还大家“颜色”:化疗后的第10天夜里,小周突然出现嗜睡、淡漠、呕吐,很快陷入昏迷,大小便失禁。
CT检查后发现:虽然肿瘤部分区域有缩小,但其他部分的肿瘤反而增大了!长大的肿瘤完全堵死了脑脊液循环,导致急性脑积水和颅内压进一步升高,将已经在谷底的小虹再一次推入了深渊。

术前肿瘤血管神经三维重建图
02 第二次赌,引流救急,小赢
看着陷入昏迷的小虹,有人悄悄地劝赵曜放弃:“这肿瘤如此难缠,预后肯定不会好!放弃算了,长痛不如短痛。”
道理是对的。但是赵曜没有放弃,他决定为小虹再“赌”一把。
当天夜里,赵曜带领团队进手术室给女孩做了脑外室引流急诊手术。由于肿瘤体积太大,同时堵塞左右侧脑室的脑脊液循环,医疗团队只能突破常规,在左右两边的颅骨上各钻开一洞,将两边脑脊液同时引流。
手术成功!带着两根引流管“辫子”回到病房的女孩慢慢醒了过来,意识比之前清醒了一些。
绝处逢生,扳回一局。
03 第三次赌,再次化疗,又输了
按照既定的化疗方案,国庆假期,神经外科、放疗科、肿瘤科、内分泌科、感染科、病理科专家进行反复讨论,连血液科医生也加入了保障,为第二轮化疗做好充分准备。
10月下旬,第二轮交叉化疗开始,所有人屏息祈祷。
可惜,天不遂人愿。第二个化疗疗程下来,肿瘤不仅没有缩小,局部再一次增大。
叶钊医生还记得,他把第二次化疗失败的消息告诉女孩妈妈时,她眼神里的那种崩溃。守了两个月,却只能眼见女儿的情况越来越糟。
04 第四次,豪赌,终极一搏,绝处逢生,赢了
眼看就要“弹尽粮绝”,面前只剩下了开刀一个选项,“喊停”的声音也不绝于耳,其中不乏国内一些顶尖水平的手术医生。
“这个位置,分分钟下不了台;下了台,也醒不过来,最多是植物人。”
赵曜找到了他的老师、华山医院神经外科主任周良辅院士。周院士认真看完各项检查结果、听赵曜介绍完情况,这位神经外科“掌舵人”只问了简单的一句:除了开刀,还有其他办法吗?
有吗?没有。想要救下这个女孩,此刻只有开刀。
但这一台刀,极有可能在台上下不来,或者开完刀再也醒不过来,几无胜算。
面对躺在病床上奄奄一息的18岁生命,赵曜决定听老师的:知其不可为而为。
这无疑是一场豪赌。
核心挑战是如何在下丘脑和脑干这两个“手术禁区”里施展手脚:既要争取全切除肿瘤,又要防止下丘脑和脑干的损伤。这两处都是生命中枢,密布无数的神经核团,掌管人的呼吸、心跳、意识、大小便、体温、血压、进食、生殖、内分泌代谢、脏器功能等一切生理活动和肢体活动,处处是惹不得的“机关重地”。
为了这一场生命的“豪赌”,金垂体团队做了可以做的最周全准备,考虑了每一种可能发生的情况。最终决定,采用内镜经鼻腔微创手术。
内镜从鼻腔进入大脑深部取出肿瘤,虽然手术路径长且深,但手术视野相对理想,正面“迎战”肿瘤对脑组织损伤小。但该手术路径完全是“孤军深入”,如同在地球球心的深部矿井里挖矿,操作空间狭小,各类手术器械的使用受限,如遇血管破裂、脑膨出等“类似塌方”的险情,抢救起来非常困难。为此,手术组还预留了开颅手术的备用方案,以进行抢救和切除位于经鼻腔入路手术盲区的肿瘤。这种预备的“上下联合入路”手术方案,是目前国际最先进的处理复杂脑肿瘤的手术方法,只是对手术团队的技术有极高的要求。
10月20日,手术日。
按照计划,上午9点,赵曜、曹晓运、周翔、乔霓丹、叶钊、张逸超组成外科手术团队上了手术台。
进入和对手的“肉搏”,情况之复杂超过预期:肿瘤占据着整个下丘脑,不仅体积巨大,且质地很韧,还混有坚硬的骨质成分。常规的吸引器无法将肿瘤分块吸除,而是用了锋利的手术剪刀将肿瘤一块一块剪下来,甚至动用了“毁损”神器超声刀,将最硬的肿瘤超声粉碎后再吸除。靠着“刀尖上舞蹈”般的细致,医生一点点地将肿瘤内部掏空,最后将其周边从下丘脑小心剥离。
但处理完肿瘤“主体”,眼前一幕让手术团队愕然了:肿瘤下方还有约5%的部分,竟然完全嵌入脑干的内部,且紧贴住位于脑干前方的基底大动脉及其分支大脑后动脉的血管壁!“肿瘤就像牙齿咬住肉”一样紧咬着脑干和大动脉,拔出肿瘤时稍有不慎导致脑干受损或血管破裂,患者必死无疑。
靠内镜才能进入的大脑深部,一旦发生动脉破裂,就像矿井里的瓦斯爆炸,根本来不及抢救。
那一刻,医生手抖了。这噩梦般的一幕以前曾经发生过,那一次,病人没有能够下手术台。
是继续,还是就此打住?
此刻“收手”,结束手术,也不算失败,毕竟绝大部分肿瘤已经切除,为女孩赢得了生存时间。但是,经验丰富的医生都知道,此刻一旦“手下留情”,女孩生命倒计时的钟声就已响起,短则数月,长则若干年,这部分残留肿瘤一定还会长出,但结疤后的手术创面,不会再给她第二次手术机会。
电光火石之间,情与理、前进与退缩的无数次抉择。最终,赵曜下定决心:再最后“搏”一把。
手术室外,女孩妈妈把所有的决定和信任都交给了医生。石像般静坐在手术室门口,心口也仿佛插了一把刀。
靠着抽丝剥茧般的功力,冥冥当中的天助,数次屏息凝气和心跳加速,活过了几个“必死”的卡点,花费整整1个多小时,手术团队终于将这剩余的5%肿瘤全部剥离,脑干和大动脉壁毫发无损。惊险刺激程度,堪比拆弹!
整个手术,历经9个小时。
当手术成功的消息被发到各大神经外科工作群,无数人点赞,觉得不可思议。

手术室里的一场生死博弈
不离不弃,重获新生,“孩子,我们回家!”
手术次日,女孩不负众望醒了过来。
“孩子醒了吗?醒了我们回家!”
在床旁守护了整整3个月的母亲这一刻终于掩藏不住内心的百感交集,拉着女儿的手,留下了幸福的流泪。
家人的喜悦与医生的感动在那一刻交织,为这三月的不离不弃画上了一个圆满的惊叹号。
接下来几天,内分泌科张朝云教授积极调整术后内分泌激素和电解质;感染科李宁教授精心调整抗生素方案治疗颅内感染;神经内科赵重波教授指导促进意识恢复的药物方案;康复医学科朱玉连主任治疗师和中西医结合科刘爱华教授采用各种治疗手段,促进患者肢体活动和意识记忆功能的恢复;肿瘤科黄若凡副教授则在筹划下一次的综合治疗方案。病情稳定后,小虹再次接受了脑积水分流手术,将头上的两根“小辫子”外引流管拔除,改为内引流,把过多的脑脊液引流到腹腔。
万里长征,胜利在望。
让所有人高兴的是,切除肿瘤的病理检查提示:成熟畸胎瘤,与术前判断一样,预后不错。意味着小虹将有可能获得真正的痊愈。
一条年轻的生命就这样被“赌”了回来。
在“金垂体”大家庭的齐心合作下,女孩身体逐渐恢复,能够下地行走,正常交流,开始接受康复治疗。

手术后康复训练
回想起几个月与肿瘤的“死磕”,赵曜教授感慨良多。“这么棘手的情况,一辈子都难得碰到几回。大脑最深部的下丘脑和脑干,却被这么巨大的恶魔肿瘤盘踞。对于任何医生都是巨大的挑战。但金垂体团队众多学科的专家们,都没有放弃,坚持了下来,终于为女孩赢得了生命。作为医生,这是最令人开心的时刻,也是我们肩负的国家神经疾病医学中心‘终点站’的责任与使命。”






