
编者按 医学是“有时,去治愈;常常,去帮助;总是,去安慰”。复旦上医策划推出“暖心·为人群服务”系列报道,为你呈现一组上医人的暖心故事。复旦上医人用一个个暖心的举动诉说着医学的脉脉温情,诠释着“为人群服务”的初心使命。
胸腔巨大“肿瘤”竟是疝入的脂肪组织?
多学科团队破解谜案巧“拆弹”
“当时我们真的吓坏了,怎么突然胸腔长了一个巨大肿瘤?”欧阳女士回忆初看到体检报告的时候仍然心有余悸。
不久前,当地医院CT检查提示她的胸腔里长了一颗10cm左右的“肿瘤”,且有恶性可能。平时身体健康,也没有不舒服的症状,怎么突然就长了一个这么大的“炸弹”呢?
胸腔长出巨大“肿瘤”?

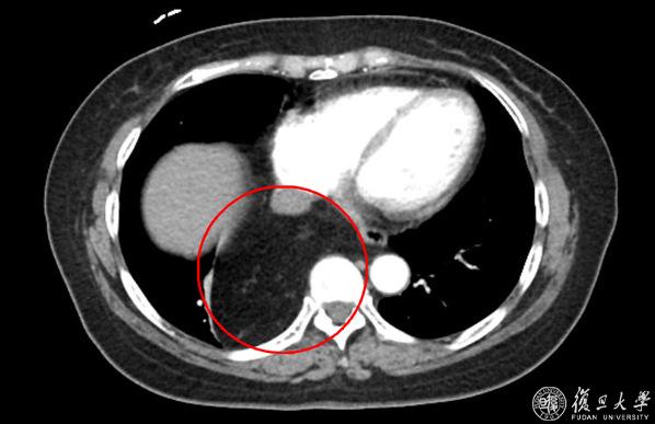
当地医院CT报告显示:右后下纵隔脂肪来源肿瘤。肿瘤进入腹腔、与周围组织分界不清。
一家人被吓的不轻,开始辗转求医。然而经过多次会诊研讨,当地医院认为欧阳女士的病情复杂,无法处理。经过多方打听,欧阳女士来到复旦大学附属中山医院普外科-腹膜后及软组织肿瘤外科主任张勇主任医师处就诊。在仔细询问了病史并查看CT影像后,张医生发现欧阳女士的“肿瘤”位于后纵膈,且密度均匀,考虑是脂肪组织。可是,这么多的脂肪从哪里来的呢?难道真的是罕见的脂肪肉瘤?

普外科-腹膜后及软组织肿瘤外科张勇主任(左二)

普外科-腹膜后及软组织肿瘤外科疝与腹壁外科专业组杨子昂副主任医师(左二)
张医生随即安排欧阳女士复查增强CT,并请腹膜后及软组织肿瘤外科疝与腹壁外科专业组的杨子昂副主任医师,胸外科蒋伟副主任医师一同会诊。在放射科的协助下,多位专家仔细研究了欧阳女士的影像学表现,考虑她的“肿瘤”是疝入“食管裂孔疝”内的脂肪组织,并不是真正的“肿瘤”。
什么是食管裂孔疝?

据介绍,“食管裂孔疝”是食管以外的腹腔脏器或组织通过增宽的膈食管裂孔进入胸腔形成的疝,分为先天性及后天性,可发生于任何年龄。患者通常会有胸骨后或剑突下烧灼感、胃内容物上反感,当疝囊较大,压迫心肺、纵隔时,可以产生气急、心悸、咳嗽、发绀等症状,通常症状的出现随年龄增长而增多。
由于部分患者症状轻微或无症状,因此经常会被忽略,但事实上症状与病情严重程度并无关。如果食管裂孔疝长期不治疗,还会导致胃食管反流病、反流性食管狭窄、疝囊嵌顿、呼吸受限等后果。
多学科团队破解疑案巧“拆弹”
欧阳女士悬着的心终于放下了,她入住了中山医院普外科病房,完善了包括胃镜、胸部CT以及心肺功能评估等在内的一系列检查。消化科高虹主任医师团队给她进行了高分辨食管压力动态检测。经过综合判断,欧阳女士的诊断明确为“食道裂孔疝IV型”,需要手术治疗。
经过周密的术前准备,在张勇主任医师的指导下,杨子昂副主任医师、蒋伟副主任医师、庄秋林主治医师为病人实施了腹腔镜手术。术中明确,欧阳女士胸腔内的肿块就是经食管裂孔疝入胸腔后纵膈内的大网膜!多学科手术团队逐步回纳疝内容物,仔细游离疝囊,关闭缺损。为了防止欧阳女士出现胃食管返流,又进一步完成了胃底折叠等手术步骤。经过1个多小时,最终完成食管裂孔疝修补+DOR胃底折叠术。
经过中山胃肠动力疾病MDT团队的准确诊断和精准治疗,欧阳女士术后第三天便顺利出院了。据悉,复旦大学附属中山医院开设食管疾病专病门诊和疝与腹壁外科专病门诊,“内外”联合开展胃食管反流性疾病和食管裂孔疝的内外科治疗,积极探索多学科协作诊疗新模式。





