
编者按:医学是“有时,去治愈;常常,去帮助;总是,去安慰”。复旦上医策划推出“暖心·为人群服务”系列报道,为你呈现一组上医人的暖心故事。复旦上医人用一个个暖心的举动诉说着医学的脉脉温情,诠释着“为人群服务”的初心使命。
“太感谢您们了,符医生,董医生!”
42岁的藏族同胞格桑旦增,拉着中山医院血管外科符伟国教授和董智慧教授的手舍不得放开。因病情恢复良好,格桑旦增即将出院,他由衷感叹道:“从日喀则到上海,这道关,我总算是过了。”

命悬一线
一个月前,格桑旦增的姐姐,一位西藏日喀则市人民医院的医生,拨通了中山医院胸外科郭卫刚教授的电话:“郭医生,请您帮帮我的弟弟!”格桑旦增反复痰中带血已有1月,虽每每均能自行缓解,但持续不见好转的的症状引起了这个家庭的关注,格桑旦增的姐姐凭借自身的医疗素养判定此症状定不简单,在姐姐的催促下,格桑旦增前往当地医院就诊,初步诊断为胸主动脉假性动脉瘤。胸主动脉假性动脉瘤极其凶险,是胸主动脉破裂后,血液经破裂口进入周围组织形成血肿,逐渐被包裹而形成的瘤腔,在高速、高压的主动脉血流冲击下,极易再次破裂,危及患者生命。面对极易破裂的瘤体与极高的手术难度,当地的医院束手无策。在命悬一线的危急状况下,格桑旦增的姐姐脑海中浮现了曾共同工作的郭卫刚教授,抱着一线希望向其求助。
2018年,郭卫刚教授曾前往日喀则市人民医院开展了为期一年的对口支援工作,期间,他积极发挥学科优势,注重传帮带,在提升当地胸外科医疗服务水平的同时建立了沪藏间的深厚情谊。郭卫刚教授充分了解病情后,经综合考虑,建议格桑旦增立即前往中山医院进行治疗。4月26日,格桑旦增带着信任与希望,火速抵达上海。
病症骤重
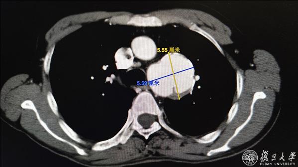
抵达上海的当日中午,格桑旦增病症骤然加重,由痰中带血迅速发展为咯血,心急如焚的姐姐联系了血管外科董智慧教授和方刚医生。董教授和方医生初步判断可能为胸主动脉假性动脉瘤破裂,一旦破裂发生,很可能会导致主动脉大出血及主动脉-支气管瘘,进一步诱发失血性休克,从而导致死亡,因此建议患者立刻至血管外科急诊就诊。血管外科总值班方圆医生立即为格桑旦增进行主动脉CTA检查,发现一颗巨大的假性动脉瘤盘踞在胸主动脉,万幸的是,瘤体尚显完整,暂无破裂征象,然而,这颗巨大的假性动脉瘤就像一颗不定时血管“炸弹”,在其爆炸之前拆除它是当前的第一要务。情况紧急,为便于生命体征监测及可能发生的急重症抢救,急诊立即将格桑旦增收治入监护室,暂时稳住了病情。


巨大的胸主动脉假性动脉瘤
勇闯难关
面对进展迅猛的险恶病情,开展救治刻不容缓。4月27日,血管外科董智慧教授召集胸外科郭卫刚教授,重症医学科宋洁琼教授,感染科金文婷教授,心外科赖颢教授,心内科崔洁教授共同为格桑旦增进行了主动脉疑难病多学科讨论,面对这颗随时都会爆炸的血管“炸弹”,多学科团队缜密评估了基础病情、既往病史与辅助检查结果,以修复胸主动脉、避免致命性大出血的发生为主要目标,决定尽快为患者实施腔内微创治疗。
4月28日下午,血管外科符伟国教授、董智慧教授、石赟教授、方刚医生、王峰医生、邹凌威博士共同为格桑旦增实施了胸主动脉腔内修复术,同时,为尽量保留较优势的左侧椎动脉,采用了原位开窗技术重建左锁骨下动脉,使用了符伟国教授原创设计的Fustar可调弯鞘等专用器材。该核心器械为主动脉弓部腔内病变的患者带来了更安全、有效的腔内介入解决方案,已获国际发明专利,并通过美国FDA和欧盟CE认证,销往欧美14个国家和地区。

最终,手术顺利完成,即刻造影显示动脉瘤已消失,胸主动脉弓上分支血管血流畅通。术后,格桑旦增咯血症状消失,术后一天即可下床活动,恢复良好,目前已顺利出院。出院两周之后的复查中显示支架保持通畅,动脉瘤隔绝良好,瘤腔内已完全血栓化。格桑旦增也终于松了一口气,可以放心地长途飞行返回西藏了。

复旦上医长期高度重视医疗援建工作,医疗队不断深化“以院包科”工作内涵,全面提升医院的临床诊疗水平,在日喀则开展了多项当地医疗史上的创新诊疗项目,为提升广大藏区百姓的健康水平提供助力。





