你是否时常感受到腰背酸、肩颈痛?世界卫生组织和多项研究显示,全球约20%-30%的成年人正受慢性疼痛困扰,尤其困扰着中青年劳动人群和老年人群健康,对家庭、医疗系统等造成隐性压力。更值得关注的是,约59%的慢性疼痛患者伴有不同程度的抑郁、焦虑症状。这种疼痛—情绪共病不仅加重患者的主观痛苦,也显著增加了医疗利用率、自杀风险和社会经济负担。
因此,临床上长期存在一个困扰医生和患者的现象:为什么有些人能够“痛并快乐着”,而另一些人却陷入情绪障碍?
复旦大学类脑智能科学与技术研究院认知神经科学中心肖晓、Trevor Robbins、冯建峰团队研究发现,大脑里海马区域的齿状回就像一道“情绪闸门”,决定疼痛会不会“升级”成负面情绪问题,为下一步药物研发奠定理论基础,降低患者从疼痛转变为抑郁共病的可能性。北京时间3月20日凌晨,相关研究成果发表于《科学》(Science)。

齿状回小胶质细胞荧光图
聚焦这一问题,复旦团队系统整合大规模人群神经影像数据库大约3万名正常人与疼痛患者持续10年左右的长期跟踪数据,并结合啮齿动物慢性神经病理性疼痛模型,从脑结构、功能、神经环路与细胞机制多个层级,探究疼痛转化为负性情绪的条件与规律。
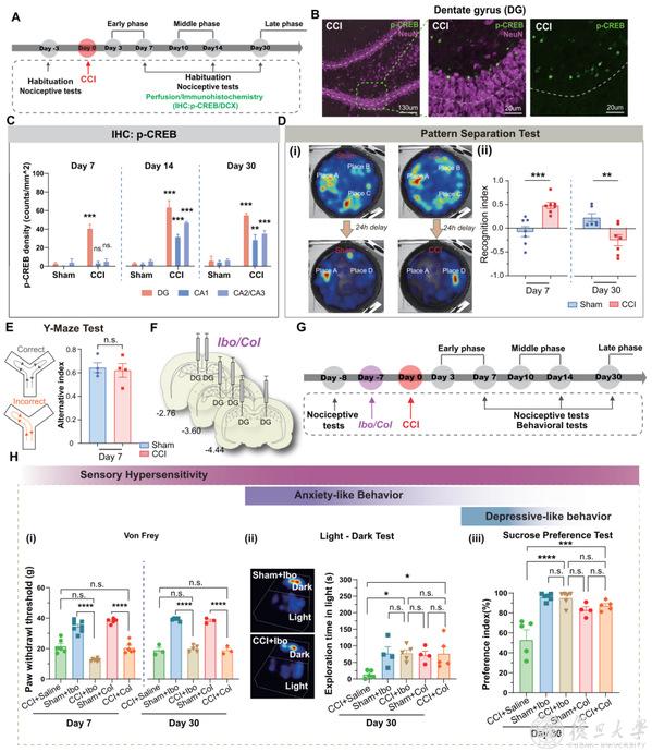
众所周知,大脑中存在一个海马脑区,它长期以来被认为与人的记忆和空间认知功能密切相关。但本研究发现,它在疼痛向情绪恶化的转化过程中发挥着调节作用:疼痛早期,海马脑区体积增大、认知增强;若疼痛持续,海马脑区则会萎缩,调控能力减弱。
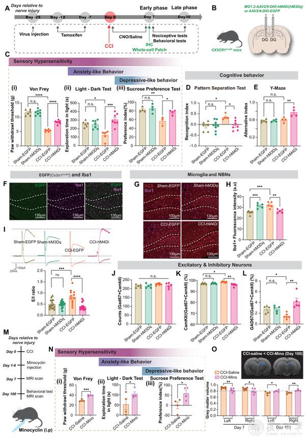
那这道“情绪闸门”的开关具体在哪里?通过一系列影像和动物模型的因果性验证,研究团队锚定了海马脑区中心的一个类似牙齿结构的区域——齿状回(Dentate Gyrus)。这个小小的脑区很特殊,是成年人大脑里极少数还能产生新神经元的地方,就像一个“新生力量储备库”。
动物实验表明,疼痛早期,齿状回新生神经元迅速被激活,并伴随海马体积增大和认知功能提升;而在疼痛持续状态下,齿状回过度激活,兴奋–抑制平衡被破坏,神经元凋亡增加,情绪调控逐渐失效。
神奇的是,当研究人员精准损毁小鼠的齿状回后发现,小鼠依然能感受到疼痛,但不会因为长期疼痛变得焦虑、抑郁。这一实验结果证实,齿状回就是调控疼痛向情绪障碍转化的关键。

疼痛早期,部分认知功能增强
疼痛对人体而言并非全然是负面影响,它如同“警报信号”,能及时提示人们关注身体的异常状况。因此,研究团队并未将研究重点放在如何抑制疼痛,而是聚焦如何帮助人们与疼痛共存。
但是,若单纯损毁齿状回结构,会使其丧失对海马脑区的正常支持功能。那么,是否存在更优的干预方法?团队进一步开展机制性研究发现,干预齿状回结构中的一种免疫细胞——小胶质细胞,是阻断慢性疼痛向情绪障碍转变的更优靶点,既能阻断情绪障碍,又不影响海马脑区正常功能,甚至在一定程度上维持认知功能的提升。
这为临床应用带来新启示,可在疼痛早期通过脑影像评估齿状回体积,预警焦虑、抑郁的风险,尽早介入干预。认知神经科学中心执行主任肖晓介绍,团队发现一款药物对小胶质细胞具有良好的抑制效果,这将能大幅降低慢性疼痛患者产生情绪障碍的可能性,帮助其提高生活质量。

干预小胶质细胞改善情绪图
成果背后,是研究团队近七年的潜心钻研。2018年,肖晓从耶鲁大学回到复旦,一手搭建起对标国际顶尖水平的实验平台——复旦大学认知神经科学中心。近年来,中心在脑机制研究方面取得一系列原创成果,在国际顶尖期刊发表论文60余篇,并形成多项发明专利和软件著作权。
2019年,团队开展本项研究的前期调研与预实验,2020年正式启动。研究的核心亮点在于“交叉”。论文共同第一作者丁铭与项诗童,分别拥有生物学与统计学的专业背景,各自牵头动物实验与数据分析环节,实现实验与数据的深度融合。
Science期刊的三位审稿人一致评价,该项研究实现了先基于人类研究发现相关现象和规律,再通过动物实验完成了机制的因果性验证。
“我们的研究涉及分子神经元、脑影像、行为学多个维度,跨度很大,核心目标就是把动物实验的发现,真正落地到了临床。”类脑智能科学与技术研究院院长冯建峰表示,目前很多研究属于“找到了金矿却没深挖”,他希望借力人工智能推进药物开发,推动研究成果转化。
后续,研究团队将继续聚焦海马脑区如何接收感觉信息、传出情感信息,以及高级认知功能调控等问题展开研究,让这场关于大脑的探索走得更远、更深入。

研究团队合影
该研究得到国家科技部2030脑科学与类脑研究重大项目、国家科技部重大专项、国家自然科学基金委面上项目、上海市市级科技重大专项等项目支持。复旦大学类脑智能科学与技术研究院认知神经科学中心执行主任肖晓,特聘教授Trevor Robbins,以及冯建峰教授为本文的通讯作者。复旦大学类脑智能科学与技术研究院博士毕业生、复旦大学附属华山医院博士后丁铭,复旦大学类脑智能科学与技术研究院博士后项诗童为本文的共同第一作者。





